All-on-four and all-on-six dental implants provide a durable solution for individuals with missing or deteriorating teeth. By utilising four to six screws and a meticulously designed fixed full-arch dental implant, these procedures effectively restore your smile’s aesthetics and fully reinstate your dental functionality.
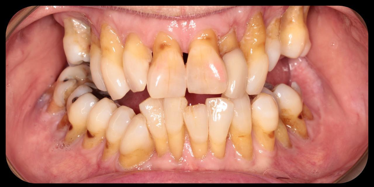
If you’re experiencing discomfort or dissatisfaction with your dentures, it’s natural to explore alternative options. You may have been informed by your dentist that you lack sufficient healthy bone for traditional dental implants. Regardless of your situation, all-on-four dental implants could be the ideal solution you’ve been searching for.
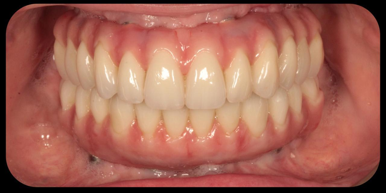
The all-on-four procedure offers complete restoration of the upper and/or lower arch by placing four dental implants in each jaw, which are then attached to a dental bridge.
This approach provides a full set of permanent teeth that offer stability and eliminate the irritation often associated with dentures. Your all-on-four dental implants will appear and feel completely natural.
Four titanium screws are strategically placed in each jaw, mimicking the function of natural tooth roots by securely bonding with the bone. The dental bridge is then affixed to these implants, creating the flawless smile you’ve always desired.
One of the significant advantages of all-on-four dental implants is that they can serve as a successful alternative to bone grafting, a complex surgical procedure sometimes required for other types of dental implants. This reduces the time spent in surgery and can help prevent future bone deterioration caused by tooth loss and periodontal disease.


What is the all on four procedure?
If you’re struggling with missing teeth, an ill-fitting denture, or a failing dental bridge, finding a durable solution may seem like an insurmountable task. However, with our advanced alternative to all-on-four dental implants, you can achieve a complete restoration of your smile using just four to six anchor screws.
Our implant solution, surpasses traditional all-on-four dental implants by incorporating two additional implants in the upper jaw (in the Pterygoid, Zygomatic & nasalus areas). This innovative approach makes it suitable for individuals with extremely low bone levels, even if your dentist has previously deemed you unsuitable. We are confident that our solution can still assist you.
These implants are not individual teeth on separate implants placed side by side. Instead, they form a unified, full jaw prosthetic bridge securely attached by four to six implants per jaw. And the best part? You can walk away with brand new fixed teeth in just one day, enabling you to smile, eat, and socialise with confidence.


Who can benefit from all-on-four dental implants?
Have you ever been informed by a dentist that you are not a suitable candidate for dental implants? If so, our advanced alternative to the all-on-four procedure might be the ideal solution for you.
Are you experiencing any of the following:
- Missing teeth?
 - Difficulty with your dentures?
 - Issues with a failing dental bridge?
 - Want to avoid dentures as a solution?
 
If any of the aforementioned resonates with you, we encourage you to get in touch with us. We firmly believe that with our assistance, you can experience the numerous advantages provided by our advanced alternative to the all-on-four dental implant procedure. These benefits include the freedom to enjoy any food you desire, teeth that you can take pride in, and a significant boost in self-confidence.

What is the price of all-on-four dental implants in the UK?
Investing in the all-on-four implant procedure can be truly life-changing, but it’s important to carefully consider all aspects before making a decision. The cost of all-on-four dental implants varies based on whether one or both jaws need treatment. The starting price for full jaw dental implants in one jaw is £11,500.
While this may initially seem like a significant investment, it’s important to note that our pricing reflects the use of only the highest quality materials and the most advanced technology to ensure optimal results. We strive to provide competitive pricing and encourage you to compare our offerings. Additionally, we offer a FREE clinical consultation, during which we can assess your suitability for the procedure and address any inquiries you may have.
To make your dream smile a reality, we offer a range of finance options tailored to accommodate various circumstances. For more information, you can visit our pricing page or reach out to our knowledgeable patient coordinators who will gladly discuss your options with you.

Clear, competitive pricing with no hidden extras
We firmly believe that everyone should have the opportunity to have a confident and radiant smile. That’s why we strive to make the costs of our all-on-four dental implants as affordable as possible. We are dedicated to providing competitive prices for this type of treatment within the industry.
In addition to our affordable pricing, we also offer finance options on all of our treatments. We understand that the cost of dental implants can be a concern for some, and we want to ensure that financial considerations do not hinder you from achieving the smile you desire.
We take pride in making high-quality dental implant solutions accessible and affordable for our patients.
Gold Package
- 10-12 teeth (upper or lower)
 - Free implant consultation.
 - Treatment completed by Dr Nikhil Oberai.
 - Upper & lower bite guard.
 - Implants placed with an immediate temporary bridge on the same day.
 - Metal sub-structure with individual teeth with high aesthetic characterization.
 - Zirconia composites with high aesthetic cases
 - Smile design to fit your facial profile
 - Advanced bone grafting procedures
 - Try in stages for the final prosthesis 2-3
 
Platinum Package
- 10-12 teeth (upper or lower)
 - Free implant consultation.
 - Treatment completed by Dr Nikhil Oberai.
 - Upper & lower bite guard.
 - Implants placed with an immediate temporary bridge on the same day.
 - Metal sub-structure with individual teeth with high aesthetic characterization.
 - Zirconia composites with high aesthetic cases
 - Smile design to fit your facial profile
 - Advanced bone grafting procedures
 - High impact teeth
 - Pterygoid implants
 - Transinus implants
 - Try in stages for the final prosthesis 2-3
 
What are the different solutions to dentures and failing teeth?
Smile in a day Dental Implants
Overdenture
All on 4®
To assess your suitability, please complete the provided form below. One of our friendly team members will contact you within 12 hours. Alternatively, you can reach us directly at 01606 44394 (Northwich) or 01625 523 524 (Wilmslow). We look forward to assisting you.






