Full Upper Arch Rehabilitation – From Embarrassment to a Confident, Beaming Smile
This case beautifully showcases how dental implants and modern restorative techniques can transform not only a patient’s smile but also their self-esteem and social confidence.
Patient Presentation
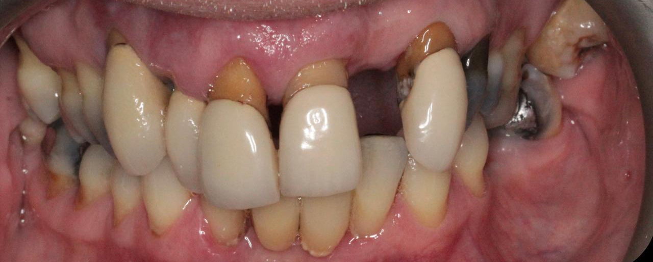
The patient presented to me with a failing upper dentition. Several anterior teeth were loose, and some posterior teeth were affected by mild periodontal disease. She was extremely conscious about her smile and had avoided seeing a dentist for years due to embarrassment about the condition of her teeth. Previously, she had seen a general dentist who could not offer her a solution that met her goals—she was adamant that she did not want to wear a removable denture that might impact her chewing and comfort.
Treatment Planning
After a thorough clinical assessment and careful discussion of her concerns and treatment objectives, it became clear that many of the upper teeth had a very poor prognosis and could not be saved long-term. We discussed several treatment options, and the patient decided to proceed with dental implants and an immediate fixed bridge, as she wanted a permanent solution that would allow her to regain her confidence and function.
Clinical Procedure
Extractions and Immediate Implants (“Teeth-in-a-Day”)
On the day of surgery, we carefully removed the failing upper teeth, placed multiple dental implants, and immediately provided a fixed provisional bridge. This “teeth-in-a-day” approach meant the patient left with a full set of stable, fixed teeth the same day, avoiding any period without teeth or the need for a removable denture.
Healing and Integration
Over the next 12 weeks, the implants were allowed to fully integrate with the bone while the patient enjoyed the immediate improvement in function and aesthetics with her temporary bridge.
Definitive Restoration
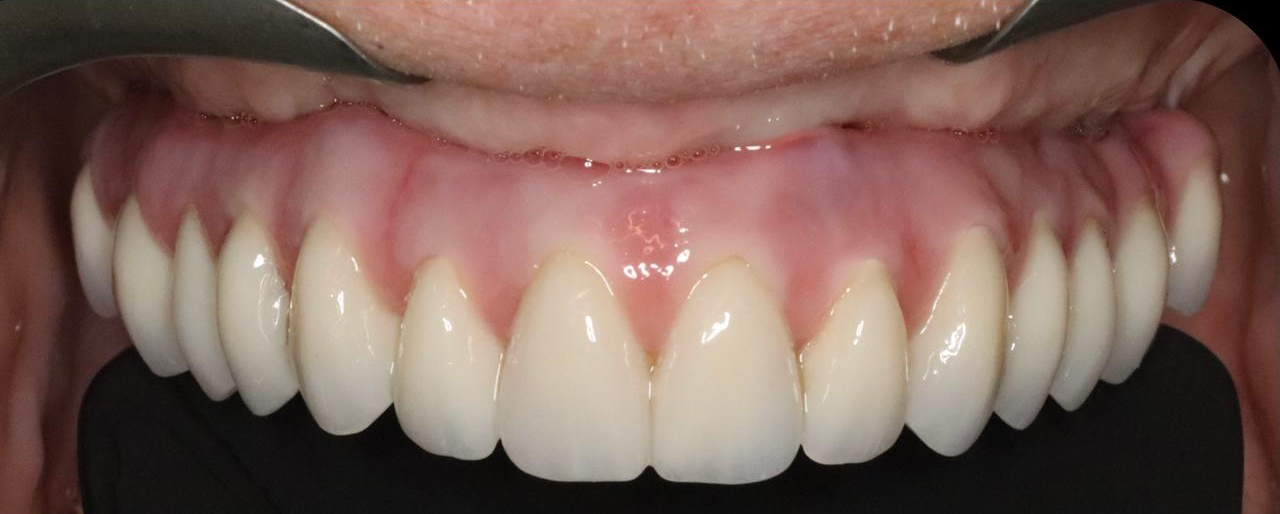
After the healing period, we moved forward with the final fixed implant-supported bridge. The final prosthesis was carefully designed to restore natural tooth anatomy and provide a harmonious, lifelike smile that perfectly complements the patient’s facial features.
After Treatment
The transformation has been nothing short of remarkable. The patient, who had once been embarrassed and self-conscious, now has a bright, confident smile that she proudly shares everywhere she goes. She is overjoyed with the results and continues to radiate confidence in her daily life—no longer worrying about loose teeth or removable dentures.
As she shared with us:
“I used to be so embarrassed to even laugh in front of my friends. Now, I can’t stop smiling!”
“The day I walked out with my new teeth was the first time in years that I felt like myself again.”
A Note from Dr. Nikhil Oberai
Seeing this transformation has been truly rewarding. My goal is always to restore not just teeth, but also confidence and quality of life. Cases like this remind me why I’m so passionate about what I do—helping patients overcome years of dental challenges and giving them back the smile they deserve.
Conclusion
This case highlights the life-changing power of implant-based full-arch rehabilitation. By replacing failing teeth with a fixed, stable implant-supported solution, we were able to give this patient back her function, her confidence, and her radiant smile. It’s a wonderful example of how modern dentistry can truly transform lives.


